予防と保健管理ブロックレポート
1 はじめに
昨年6月、大手機械メーカー「クボタ」の従業員や出入り業者など79人がアスベストによる中皮腫や肺ガンで死亡し、工場周辺の住民にも被害が出ていることが大きく報道されて以来、連日のようにアスベスト問題が報道されるようになり、大きな社会問題となっている。
アスベストによる健康被害は、飛び散ったアスベストに暴露され、これを吸い込むことによって起きる。アスベストによって発症する病気としては、悪性中皮腫(胸膜や腹膜、心膜、精巣等にできる悪性の腫瘍)、肺ガン、アスベスト肺(肺が繊維化してしまう肺繊維症(じん肺)の一つ)の他に、胸膜肥厚斑、良性石綿胸水、びまん性胸膜肥厚がある。初めてアスベストを吸ってから平均数十年の潜伏期間があり(「静かな時限爆弾」)、現在特に問題となっているのが、この潜伏期間を経て、発病してしまった人、発病している人たちが、身近にたくさんいることが分かってきたということである。現状では極めて治りにくいことが特徴である、このアスベスト関連の肺疾患について、4月19日のビデオの内容とこれから示す文献をもとに述べていこうと思う。
2選んだキーワード
「asbestos」 「environment exposure」
3選んだ論文の内容の概略
私が選んだ文献はAmerican Family Physician の第75巻 番号5(2007年3月1日)に記載されている
著者KATHERINE M.A. O'REILLY, M.D., Southampton General Hospital, Southampton, United Kingdom
ANNE MARIE MCLAUGHLIN, M.B., St. Vincent's University Hospital, Dublin, Ireland
WILLIAM S. BECKETT, M.D., and PATRICIA J. SIME, M.D., University of Rochester School of Medicine and Dentistry, Rochester, New York の Asbestos-Related Lung Disease(アスベスト関連の肺疾患)というものである。この論文の概要に入る前に4月19日のビデオの内容も踏まえて、まずはアスベストについて少し述べようと思う。
アスベスト(石綿・せきめん・いしわた)とは、天然の繊維状の鉱物で、クリソタイル(白石綿)、クロシドライト(青石綿)、アモサイト(茶石綿)、アンソフィライト、トレモロライト、アクチノライトに分類される。このうち特に有害性が強いのが、クロシドライトとアモサイトである。アスベストは、経済的に安価であることとその他に、糸に紡いで、織ることができ(紡織性)、熱に強く燃えにくい(耐熱性)、曲げや引っ張り、摩擦に強い(耐久性、耐摩擦性)、酸やアルカリなどの薬品に強く、腐食しない(耐薬性)、熱や電気を通しにくい(電気絶縁性)といった優れた特性を持っている。そのため、建設や造船、自動車、陸・海運輸、産業工作機械など多くの業種で多種多様に使用され、最盛期には3000種類以上の用途(ベビーパウダーや防塵マスク、煙草のフィルターなど今では考えられないような物にまで!)があった。その約8〜9割は、石綿スレート、石綿管、パルプセメント板などの建材製品に加工されるなどして建築物材料として利用されている。日本は世界有数のアスベスト使用大国で、1974年のピーク時には35万トンを輸入消費していた。1980年代までは20万トンから30万トンの間で推移し、減少傾向を示すのは90年代以降のことである。2003年は2万5千トンであり、前年の43%減、ピーク時の93%減と大幅に減少している。日本への主な輸入元は、カナダ54.1%、ジンバブエ28.0%、ブラジル13.0%である。
アスベストは非常に細かいので、吸入すると肺の奥まで入ってしまう可能性がある。アスベストの吸入に関連ある病気で重病となるものに、石綿肺(肺線維症:肺が固くなり呼吸不全で死亡)、肺癌、悪性中皮腫などがあるが、いずれもアスベストを吸入してしまうような労働環境で起こる職業病で、10年〜50年の潜伏期で発症。この中でアスベストとの関係で注目されているのが中皮腫である。現在、アスベスト暴露に関連あるとして確認されている疾病は、石綿肺、肺がん、悪性中皮腫の3疾患に加え、良性胸膜疾患として、胸膜炎、びまん性胸膜肥厚、円形無気肺(または無気肺性偽腫瘍)及び胸膜プラークがある。これらはいずれも空気中に浮遊するアスベストを吸入することにより発生する。私の選んだ文献は肺がん、石綿症、良性胸膜疾患、悪性中皮腫について詳しく書かれているので、ここからは文献の内容に沿って先に述べた肺疾患について述べようと思う。
@肺がん lung cancer
アスベスト曝露は、小さな癌細胞や既に大きな癌細胞を発達させる危険性をかなり増加させる。アスベストに曝露されているが石綿症ではない患者と比較すると、石綿症患者の方が非小な肺の癌細胞が増加すると多くの研究で示唆されている。また肺がんは、アスベストにさらされる非喫煙者に起こりうることでもある。しかしながら、その危険性は喫煙によって数倍にまで拡大する。だから、タバコを吸う全ての患者はこの危険性について警告されなければならないし、あらゆる試みは禁煙で患者を援助するものでなければならない。中皮腫でないアスベスト関連の肺がんは、単独で喫煙に関連した肺がんと臨床的に見分けがつかない。従って新たに石灰化されていない肺小塊の評価は、アスベストの曝露の有無に関わらず、患者という点では同様なのである。また肺がん患者はインフルエンザと肺炎球菌のワクチンを投与されなければならない。
A石綿症 asbestosis
石綿症は線維性肺疾患または塵肺であり、アスベスト線維の吸入から生じる。多くの患者において、それは通常比較的マイナーな徴候をもたらす、非常に程度が軽くて痛みのない線維症によるのが特徴である。一般にアスベスト曝露のピーク時と診断の間の潜伏期間は、20〜30年である。身体検査に関する聴診音と関連する労作性呼吸困難に対する病訴は、更なる検査をすべきであるということ示している。肺機能の初めの変化は、減少した拡散能力と労作性の酸素不飽和化であるかもしれない。検査におけるプロセスがより先進になるにつれて、肺機能テストは減少した総肺気量と肺活量で制限的なパターンを明らかにするだろう。また胸部X線撮影は、一般的に増加した間質陰影としばしば胸膜プラークを示す。主にベースとして、胸の高解像度CTにおける典型的な検査結果は増加した間質陰影を含む。後に蜂窩が明らかになるかもしれない。(figure1)多くの点で、石綿症は特発性肺線維症と臨床的に類似している。しかし、石綿症は通常ゆっくり進行するが、特発性肺線維症は急速に進行する場合がある。現在の治療では、効果的に石綿症の疾患過程を変えることはできない。患者はインフルエンザと肺炎球菌のワクチンから利益を得る。かなりの職業的なアスベスト曝露と典型的な高度解像度CT検査結果歴があれば、外科的肺生検は診断を確立するためにあまり必要とはされない。外科的肺生検が行われた患者等に対して、病理学パターンでは間質性肺炎という診断なのである。これは特発性肺線維症患者に起こっている病理と同じであって、コラーゲン血管疾患(例えば慢性関節リウマチ)に伴う肺線維症でも見られるかもしれない。アスベスト小体は組織の特別な鉄の染色によって特定され、これらアスベスト小体の数は、線維症のひどさと相関する。肺組織におけるアスベスト小体の存在は、石綿症の診断を確かなものとする。
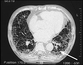
figure1
ひどい石綿症を示している胸のコンピュータ断層。

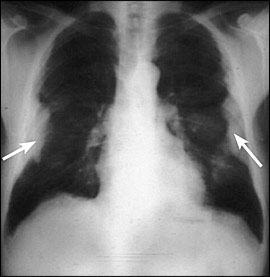
figure2
胸膜プラークを発達させ、前にアスベストの著しい肺実質の再構築と組織破壊(蜂窩肺)

曝露経験のある患者の胸部X線。
B良性胸膜疾患 benign pleural disease
アスベスト吸入において最も一般的な病理学的肺反応は、胸膜プラークの発達である(figure2)。時間と共に、コラーゲンは胸膜で沈殿して、固まるかもしれない。大部分のプラークは完全に症状がない。そしてプラークが悪性病巣に変わる証拠がない。プラークはアスベストへの深刻で長い期間による曝露によって、おおよそ50%の人に起こるため、アスベスト曝露の目印となる。健康診断時などの胸部X線検査で気づかれることが多い。中には、胸膜肥厚部分に隣接した末梢肺が部分的に虚脱を起こし、胸部X線写真上、円形の腫瘤様陰影を呈することがあり、これを円形無気肺または円形無気性偽腫瘍と呼んでいる。これらの3つの胸膜疾患は職業上アスベスト暴露を受けた場合に生じる疾患である。
C拡散性悪性中皮腫
胸膜、心膜、腹膜などの漿膜腔を覆う中皮表面及びその下層の組織から発生する、中皮細胞に由来する極めて予後不良な悪性腫瘍(がん)である。アスベスト暴露から20〜50年の長い潜伏期間を経たのち発症する。悪性中皮腫の発生は、アスベストの種類によって差があることが知られており、クロシドライトが最も危険性が高く、アモサイトがこれに次ぎ、クリソタイルは前2者より低いとされている。悪性中皮腫の示している徴候は漠然としている。また徴候の非特異性の性質は、診断を難しくする。胸の痛みと呼吸困難は、一般的な最初の症状である。胸部X線撮影で、しばしば最も大きな、片側の胸水がみられる。また胸膜の不規則な肥厚も見えるかもしれない。また、より進行した病気において、大静脈症候群、ホーナーの症候群、嚥下障害などがあるかもしれない。よって病理学的診断は難しいと分かる。そして多くのケースはまず最初に誤診される。また治療法についてであるが、特に転移から一時的に軽くする放射線療法は、徴候を減らすことに効果的であると言える。現在の臨床の場では手術、放射線と化学療法の組み合わせを強調する。しかし、療法は生存率を改善するということを明らかに示すことはまだできていない。最近の研究は血清目印(例えば血清関連のタンパク、オステオポンチン)の識別に集中している。
以上を論文の概略とした。英語を訳していて、不自然で理解しがたい箇所が幾度とあったが、そこは自分なりに解釈して訳した。
4考察
まず恐ろしく感じたのは、製品製造や建設工事などに従事した労働者だけではなく、その家族や、工場、解体現場周辺の住民にも二次被曝の危険性があるということである。日本におけるアスベストに対する企業の安全対策や行政による規制は大幅に遅れてきた。すなわち、ヨーロッパでは、アスベストによる健康被害が古くから知られ、1980年代にはアスベストの使用を急激に減少させてきた。1986年、ILO(世界労働機関)は、アスベストの中でも最も毒性の強い青石綿の使用を禁止し、全ての種類のアスベスト吹きつけの禁止、労働者の健康状態の把握などの措置を求めた条約(162号)を採択したが、日本がこの条約を批准したのは、19年目の昨年になってからのことである。また、1990年代から欧米で次々とアスベストが全面禁止される中、日本で青石綿が使用禁止になったのが1995年、1%以上の石綿を含有する製品の製造、使用等が原則禁止となったのが昨年10月、除去時の特別の配慮などを含めた「石綿障害予防規則」が施行されたのが昨年7月1日である。その結果、多くの労働者や国民はアスベストの被害の実態を何も知らされてこなかった。そして、アスベストによる健康被害の発症まで長期間が経過することにより職歴の証明が困難であることや石綿肺は誤診されることが多いこと、肺ガンの場合は、アスベストとの関係に本人も医師も気づいていないことが多いことなどから、中皮腫や肺ガン患者のごく一部しか労災認定を受けておらず、被害の実態は解明されていない。
またアスベストやアスベストにおける肺疾患について文献を通して具体的に見てきたが、アスベストによる肺疾患の恐ろしさに驚愕するとともに、身の回りの至る所につい最近までアスベストが存在していたということにも改めて本当に驚愕した。しかし、繰り返すようであるが、私が最も恐ろしく感じたのは、肺がんなどの肺疾患において、アスベストが原因だと疑う医師が少なかったということである。確かに世間が騒ぐまで一般の人でもアスベストを知っている人は少なかっただろうし、肺や感染症の専門性に長けた医師でなければ気付けなかったかもしれない。しかし、その医師を頼ってきた患者は、医師がアスベストが原因と認識できないがために見過ごされてしまい、適切な治療を受けられないまま亡くなってしまったという事実も私たちは受け入れなければならない。ビデオでは、それらの反省を生かして徹底した問診が行われていた。医師を志す者として知らなかったでは済まされないということを改めて思い知らされたと同時に、ものすごい責任感を感じた。
5まとめ
国の対応の遅れでたくさんのアスベストの被害者が生まれたといっても過言ではないだろう。今政府は、申請者に制限を設けず、労災の時効にかかった者にも労災並みの補償をするアスベスト新法を成立させた。しかし、これで救済が十分になるわけではない。実際はハードルが高すぎて認定されるケースが限られたり、環境省もこうした事情で救済から漏れるのは、条件を満たしていない以上、仕方がないという立場である。過去にアスベストが広く使用され、社会に浸透してしまった経緯からして、今後40年間の悪性中皮腫による死亡者数を10万人と統計予測する研究もある。さらにアスベストの用途として最も多い建材を使用した建物の解体が本格化するのはこれからである。作業従事者や周辺住民に安全な除去方法の徹底を図り、産業廃棄物としてのアスベスト対策をするとともにアスベストの使用を全面的に禁止することや、今後の被害の発生、拡大を防ぐための教育・相談・健診・調査体制や運動を確立し、強化することが急務であると考える。